Calcium phosphate
![]() Hydroxyapatite crystal
| |
| Identifiers | |
|---|---|
CAS Number
|
|
| EC Number |
|
| E number | E341 (antioxidants, ...) |
PubChem CID
|
|
| UNII | |
InChI
| |
| Properties | |
Chemical formula
|
Ca3(PO4)2 |
| Molar mass | 310.18 g/mol |
| Appearance | White Solid |
| Odor | Odorless |
| Density | 3.14 g/cu cm[1] |
| Melting point | 1,670 °C (3,040 °F; 1,940 K)[1] |
Solubility in water
|
Practically insoluble with water |
| Solubility in Ethanol | Insoluble with ethanol (also acetic acid) |
| Hazards | |
| GHS labelling: | |
Pictograms
|
|
Signal word
|
Warning |
Hazard statements
|
H315, H319, H335 |
Precautionary statements
|
P101, P102, P103, P261, P264, P270, P271, P280, P302+P352, P304+P340, P305+P351+P338 |
| NFPA 704 (fire diamond) | ![]()
2
0
1 |
| Flash point | Non-flammable |
| Safety data sheet (SDS) | fishersci.com |
Except where otherwise noted, data are given for materials in their standard state (at 25 °C [77 °F], 100 kPa).
Infobox references
| |
The term calcium phosphate refers to a family of materials and minerals containing calcium ions (Ca2+) together with inorganic phosphate anions. Some so-called calcium phosphates contain oxide and hydroxide as well. Calcium phosphates are white solids of nutritional value[2] and are found in many living organisms, e.g., bone mineral and tooth enamel.[3] In milk, it exists in a colloidal form in micelles bound to casein protein with magnesium, zinc, and citrate–collectively referred to as colloidal calcium phosphate (CCP).[4] Various calcium phosphate minerals, which often are not white owing to impurities, are used in the production of phosphoric acid and fertilizers. Overuse of certain forms of calcium phosphate can lead to nutrient-containing surface runoff and subsequent adverse effects upon receiving waters such as algal blooms and eutrophication (over-enrichment with nutrients and minerals).[5]
Orthophosphates, di- and monohydrogen phosphates
These materials contain Ca2+ combined with PO3−
4, HPO2−
4, or H
2PO−
4:
- Monocalcium phosphate, E341 (CAS# 7758-23-8 for anhydrous; CAS#10031-30-8 for monohydrate: Ca(H2PO4)2 and Ca(H2PO4)2(H2O)
- Dicalcium phosphate (dibasic calcium phosphate), E341(ii) (CAS# 7757-93-9): CaHPO4 (mineral: monetite), dihydrate CaHPO4(H2O)2 (mineral: brushite) and monohydrate CaHPO4(H2O)
- Tricalcium phosphate (tribasic calcium phosphate or tricalcic phosphate, sometimes referred to as calcium phosphate or calcium orthophosphate, whitlockite), E341(iii) (CAS#7758-87-4): Ca3(PO4)2
- Octacalcium phosphate (CAS# 13767-12-9): Ca8H2(PO4)6·5H2O
- Amorphous calcium phosphate is a glassy precipitate of variable composition that may be present in biological systems.
Di- and polyphosphates
These materials contain Ca2+ combined with the polyphosphates, such as P
2O4−
7 and triphosphate P
3O5−
10:
- Dicalcium diphosphate (CAS#7790-76-3]: Ca2P2O7
- Calcium triphosphate (CAS# 26158-70-3): Ca5(P3O10)2
Hydroxy- and oxo-phosphates
These materials contain other anions in addition to phosphate:
- Hydroxyapatite Ca5(PO4)3(OH)
- Apatite Ca10(PO4)6(OH,F,Cl,Br)2
- Tetracalcium phosphate (CAS#1306-01-0): Ca4(PO4)2O
Culinary use
Calcium phosphate was approved by the FDA[6] in the USA for use as a white food coloring because of a 2023 petition from Innophos Inc. of Cranbury, New Jersey. [1]
Clinical significance
Calcium phosphate stones account for approximately 15% of kidney stone disease. Calcium phosphate stones tend to grow in alkaline urine, especially when Proteus bacteria are present. It is the most common type in pregnant women.[7]
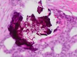
Calcium phosphate is the usual constitution of microcalcifications of the breast, particularly dystrophic calcifications. Microcalcifications as can be seen on mammography can be an early sign of breast cancer. Based on morphology, it is possible to classify by radiography how likely microcalcifications are to indicate cancer.[8]
-
Urine crystals comparison, with calcium phosphate crystal depicted at top center. -
Histopathology of dystrophic calcium phosphate microcalcifications in ductal carcinoma in situ (DCIS) of the breast, H&E stain.
References
- ^ a b "Calcium Phosphate".
- ^ Klaus Schrödter; Gerhard Bettermann; Thomas Staffel; Friedrich Wahl; Thomas Klein; Thomas Hofmann (2008). "Phosphoric Acid and Phosphates". Ullmann's Encyclopedia of Industrial Chemistry. Ullmann’s Encyclopedia of Industrial Chemistry. Weinheim: Wiley-VCH. doi:10.1002/14356007.a19_465.pub3. ISBN 978-3527306732. S2CID 94458523.
- ^ "What Substances Make Up Your Teeth? – Affordable Dental Care". www.towncaredental.com. 2015-07-15. Retrieved 2021-01-29.
- ^ A. Y. Tamime, ed. (2006). Brined cheeses - The Society of Dairy Technology (SDT). Wiley-Blackwell. ISBN 978-1-4051-2460-7.
- ^ Xiao, Zhengyang; Tan, Albern X.; Xu, Vincent; Jun, Young-Shin; Tang, Yinjie J. (2022). "Mineral-hydrogel composites for mitigating harmful algal bloom and supplying phosphorous for photo-biorefineries". Science of the Total Environment. 847 157533. Bibcode:2022ScTEn.84757533X. doi:10.1016/j.scitotenv.2022.157533. PMC 9755271. PMID 35878849.
- ^ "FDA Approves Three Food Colors from Natural Sources". FDA. Archived from the original on May 9, 2025.
- ^ Frassetto L, Kohlstadt I (2011). "Treatment and prevention of kidney stones: an update". Am Fam Physician. 84 (11): 1234–42. PMID 22150656.
- ^ Nalawade, Yojana V (November 2009). "Evaluation of breast calcifications". The Indian Journal of Radiology & Imaging. 19 (4): 282–286. doi:10.4103/0971-3026.57208. ISSN 0971-3026. PMC 2797739. PMID 19881103.


